Canon Compressed Speeder
Приложение для постобработки изображений Canon Compressed Speeder
Нет в продаже

Приложение для постобработки изображений Canon Compressed Speeder

Canon Compressed Speeder
Canon Compressed Speeder
Арт.: M011883

Compressed SPEEDER — это новый метод визуализации, который может ускорить сканирование всего тела. Этот уникальный подход к визуализации обеспечивает высокоскоростную визуализацию, в 2,5 раза превышающую текущую скорость сканирования, при этом поддерживая качество диагностических изображений.

Описание

Compressed SPEEDER восстанавливает полноценное изображение на основе данных низкого разрешения путем итеративной реконструкции, что повышает пропускную способность МРТ-аппарата и позволяет увеличить промежуток между обследованиями пациентов, во время которого в случае необходимости можно дезинфицировать сканер. При этом данные пациента хранятся в безопасности благодаря постоянным обновлениям от Microsoft, а также благодаря функции белых списков, которая предоставляет врачам доступ только к необходимым приложениям и процессам.

Compressed Speeder обеспечивает быстрое получение изображения и может предотвращать появление артефактов и ошибок, которые иногда наблюдаются при стандартной параллельной визуализации. Кроме того, он обеспечивает более высокое разрешение при использовании технологии 2D Fast Spin Echo (FSE). Во время длительного сканирования дискомфорт пациента выражается в непроизвольных движениях, которые могут снижать качество изображений, поэтому сокращение продолжительности процедуры не только улучшает впечатления пациента, но и способствует получению более качественных снимков.

Преимущества Compressed Speeder

  • Сократите время экзамена до 2,5 раз
  • Быстрые обследования — больше времени для ваших пациентов
  • Улучшенное разрешение за то же время сканирования

Гибкость скорости с Compressed Speeder

  • Помогает повысить производительность за счет сокращения времени сканирования.
  • Позволяет исследовать больше пациентов в день.
  • Сократить время обследования для пациентов, которые не могут сидеть спокойно в течение стандартного времени обследования
  • Может снизить вероятность движения
  • Управление дня
  • Управлять расписанием и «надстройками», ускоряя экзамены

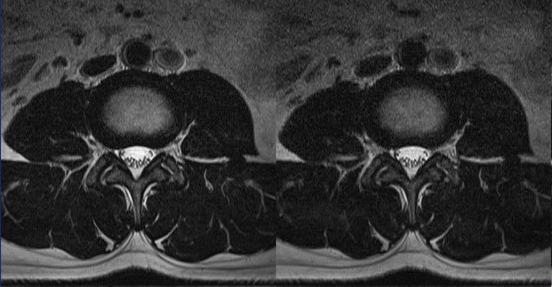
без Compressed Speeder
с помощью Compressed Speeder

Нет ускорения по сравнению с Compressed SPEEDER 2.0

Время сканирования 2:48
Время сканирования 1:24

Повысить качество обслуживания пациентов с помощью Compressed SPEEDER

  • Сокращение времени сканирования и повышение комфорта пациента
  • Может обеспечить более высокое качество изображений за счет уменьшения движений пациента во время более длительных сканирований
  • Проводите больше времени с пациентами, меньше времени на сканирование
  • Повысить общую удовлетворенность пациентов
  • Улучшение общего впечатления от пациента
  • В сочетании с MR Theater, Pianissimo и Galan Wide Bore

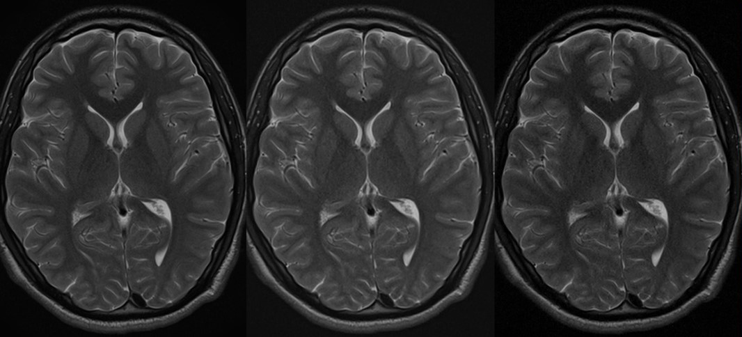
Original
Compressed SPEEDER 2.0
Compressed SPEEDER 2.5

Исходный и сжатый SPEEDER 2.0 и сжатый SPEEDER 2.5

Время сканирования 3:10
Vantage Orian 1.5T
Время сканирования 1:46
Vantage Orian 1.5T
Время сканирования 1:18
Vantage Orian 1.5T

Совместите Compressed SPEEDER с AiCE DLR

  • Увеличивайте разрешение за разумное время сканирования
  • Улучшено качество изображения
  • Повышенная клиническая уверенность
  • Гибкость адаптации приобретения к текущей клинической задаче
  • Увеличьте скорость или увеличьте отношение сигнал-шум и увеличьте разрешение

Сжатый SPEEDER против AiCE

Время сканирования 2:00
из Vantage Galan 3T

Характеристики
Вид оборудования
ПО
Сервис
Лизинг
Гарантии
Преимущества